Revner i tænderne (også kaldet infraktioner)

Hvad betyder det, at der er revner i min tand?

1. Der er en risiko for, at tanden knækker:

Ubehandlede revner forværres med tiden, hvilket kan føre til, at tanden knækker. En knækket tand kan kræve en mere omfattende behandling, eller i værste fald kan man være nødt til at fjerne tanden.

2. Revner giver adgang for bakterier ind i tanden:

Revner fungerer som indgangsporte for bakterier, hvilket kan føre til betændelse i tandnerven. Betændelsen kan resultere i, at tanden skal rodbehandles. Der vil altid være en risiko for, at tænder med revner vil skulle rodbehandles på et tidspunkt, men i de fleste tilfælde går det godt. Jo tidligere revnen standses, jo større er sandsynligheden for, at man kan undgå rodbehandling.

Hvad er infraktioner, og hvorfor opstår de?

Infraktioner er revner eller brudlinjer, som ikke er nået helt igennem tanden. De kan opstå i en intakt tand på grund af hårde slag ved ulykker eller på grund af hårdt tandpres – oftest sker det om natten, men det kan også være tandpres om dagen, hvis man bider hårdt sammen. Se Figur 1.

Revner i intakte tænder er meget alvorlige, fordi de altid løber tværs ned igennem tanden. Den ender med at flække på langs som vist på billedet.

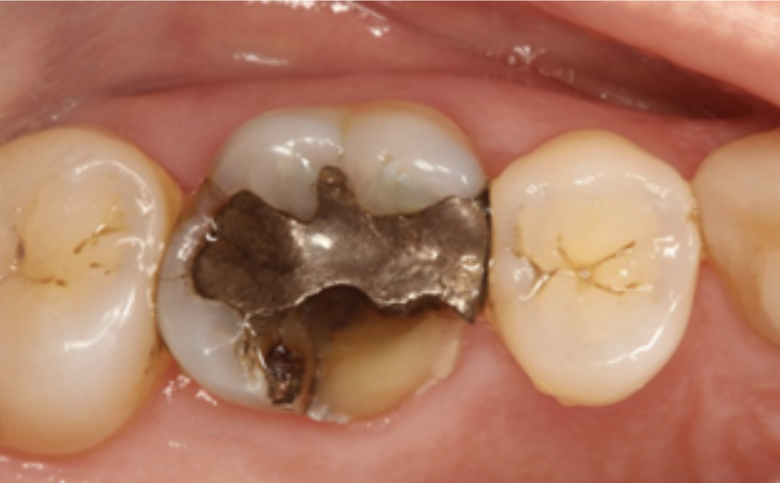
Tanden er knækket på grund af en revne ved siden af en sølvfyldning. Det er en meget hyppig skade.
Billedet viser en intakt tand, som har udviklet en dyb revne, der truer med at flække tanden på langs
Tand der er flækket på langs på grund af en dyb revne

Billedet til venstre viser en tand, der er knækket på grund af en revne ved siden af en sølvfyldning. Det er en meget hyppig skade. Billedet i midten viser en intakt tand, som har udviklet en dyb revne, der truer med at flække tanden på langs. Det er det, der er sket for tanden på billedet til højre.

Revner i intakte tænder opdages bedst ved gennemlysning. Revnen standser lysets udbredelse igennem tanden.

Revner i tænder med fyldninger

Jo mere der er boret ud i en tand, jo større bliver risikoen for, at revner opstår. Ofte kommer revnerne som en konsekvens af, at tanden både er udboret og hårdt belastet, men også indre pres fra sølvfyldninger, som udvider sig, kan bidrage til revnedannelsen. Tænder, der er udborede, knækker ofte som vist på billedet og kan oftest restaureres.

Revner i intakte tænder

Revner i intakte tænder er et stigende problem – ikke mindst på grund af udbredelsen af antidepressiv, angstdæmpende og ADHD-medicin, der stimulerer til øget muskelaktivitet i kæbemuskulaturen hos 20-30 % – men sandsynligvis også fordi mange mennesker er stressede af de mange krav, det moderne liv stiller til den enkelte.

Det er vigtigt at være opmærksom på symptomer fra tandpres: ømhed eller træthed i ansigtsmuskulaturen om morgenen, spændingshovedpine, muskelømhed i tinding og på siden af underkæben.

Tænderskæren laver ofte lyde, men tandpres er lydløst.

Problemet med revner opstår, når en tand nedefra tygger op i mellem de to spidser på tanden i overkæben. Pressende kræfter rammer tanden på skrå flader, hvilket fører til at tandens spidser presses fra hinanden.

Det giver et træk mellem spidserne som skaber revnerne

Hvis tandens stivhed (evne til at modstå deformation) ikke er tilstrækkelig til at modstå trækket, opstår der stadigt dybere revner, indtil tanden knækker eller flækker på langs.

 

Billede som viser hvordan revner dannes i en tand

Udboring af tanden mindsker stivheden markant. På tanden til højre står der nu to lange tynde spidser. Under tygning bevæger spidserne på en udboret tand sig op til 70 gange længere, end de gør på en intakt tand (de røde pile er længere). Stivheden er meget mindre i en udboret tand.

Hvordan behandles infraktioner?

Tanden skal styrkes på en måde, så den ikke flækker midt ned igennem roden, eller der brækker flere stykker af. Det betyder, at stivheden skal øges, så der ikke opstår det træk, som får revnen til at blive dybere.

Årsagen til, at der opstår revner, skal også håndteres.

Hvis der er opstået problemer med nerven, skal den eventuelt behandles.

Der er to materialer til rådighed: keramik og plast.

Keramik

Er et fuldstændigt stift og meget hårdt materiale med en stor brudstyrke og slidstyrke. Det kan bindes til tanden og opnå meget stor styrke. I sine egenskaber minder keramik om det hårde slidlag uden på tanden (emaljen).

Fordele: Det er egenskaber, som betyder, at restaureringer er slidstærke og kan fremstilles tyndt, samtidig med at de fuldstændigt låser tandens spidser og standser udbredelsen af revnen. En tallerken kan ikke bøjes. Enten holder den, eller også knækker den. Keramik beskytter det underliggende tandvæv mod bøjning og slid.

Ulemper: Prisen er høj, fordi hver restaurering skal fremstilles specielt til tanden på et tandteknisk laboratorium. Vanskeligere at arbejde med. Teknisk krævende.

Plast

Er et sejt materiale (yder modstand mod bøjning, men kan bøjes noget) med en begrænset slidstyrke. I sine egenskaber minder plast mere om vævet i den indre del af tanden (dentinen).

Fordele: Plast er et fyldningsmateriale, der er nemt at arbejde med, fordi det er formbart direkte i tanden og binder til tanden. Det er derfor billigere.

Ulemper: Plast kan ikke fremstilles så tyndt som keramik. Der skal derfor slibes ca. 3 gange mere af tanden for at stabilisere en revne med plast. Plast har en mindre slidstyrke, og restaureringen taber højde og form med tiden. Plast holder derfor ikke så lang tid som keramik.

Keramik kan laves tyndere end plast

Tegningen viser forskellene på, hvor meget tand der skal slibes væk til keramik og plast. Der skal slibes mere tand væk for at få en tykkelse på plasten, som kan holde til belastning.

Man kan bygge en tand op i plast. Ulemperne er, at restaureringen vil få en meget kortere holdbarhed, og at der skal fjernes mere tand. Det er derfor mere destruktivt og ødelægger tanden mere. 

Plast slides hurtigere ned, og det betyder at et bid ,der udelukkende hviler på plast synker sammen med tiden. Det giver øget belastning af fortænderne som kan flytte sig eller de kan knække.

 

 

 

Billedet viser hvor meget der skal slibes væk af en tand for at reparere den med plast eller keramik

Bøjeligheden af plasten betyder, at revnen ikke låses i alle tilfælde, og at det derfor fortsætter med at udvikle sig. I den situation kan man efterbehandle med keramik oven på plasten.

Restaurering og beskyttelse mod at tanden knækker

Tidligere ville man være nødt til at lave en krone til en tand med revner. Det er dog en meget destruktiv behandling der fjerner 60-75% af tanden. Det er en forældet behandling i de fleste situationer.

Den moderne behandling efterligner naturens eget design og udseende. Ny digital teknologi og nye keramiske materialer der kan limes til tandens væv har gjort behandlingen langt mere skånsom. 

Man fylder mangler i den inderste del ud med et materiale, der arbejder som vævet omkring plasten (dentinen).

Den yderste del (den slidstærke emalje) restaurerer man med en tynd skal af keramik, fordi keramik minder om naturens eget hårde ydre lag. Keramikken låser revnen og beskytter mod at tanden knækker. Samtidig gør man tanden slidstærk, så den bevarer sin form og højde i biddet. 

Keramikken har en meget stor stivhed. Det kan ikke bøjes. Enten holder det sin form, eller også knækker det. Det betyder at tanden under den keramiske overdækning er beskyttet mod det træk som skaber revner. Tanden er nu gjort holdbar – uden at slibe næsten hele tanden væk.

Metoden stiller store krav til præcision og behandlerens kunnen og laves under mikroskop eller anden forstørrelse. Den er særdeles veldokumenteret i den nyeste videnskabelige litteratur. En undersøgelse fandt en holdbarhed på 98,6% efter 14 år. Dette er bedre end de gamle tandkroner.

Tegningen til venstre viser, hvor lidt der egentlig skal slibes væk af den naturlige tand for at lave en moderne restaurering med plast inderst og keramik yderst (markeret med lyseblå) i en tand, der er kraftigt udboret.

Er der tale om en intakt tand med en revne, som på tegningen i midten, kan man lave en endnu mere skånsom beslibning på 0,8-1,0 mm (tanden til højre).

Kroner er oftest ikke en god behandling – beslibningen ødelægger for meget af tanden

 

 

 

Billedet viser hvordan man bedst restaurerer tænder med keramik

Tidligere behandlede man tænder med kroner, men det er en meget destruktiv behandling. Det giver oftest ikke giver mening længere, fordi de nye materialer og metoder med computerscanning og computerstyret fremstilling af tynde keramiske overdækninger er langt mere skånsomme og bedre for tanden.

På tegningen ses, hvor stor en del af tanden der skal slibes væk, for at der kan fremstilles en keramisk krone til tanden. Fordi kronen skal slibes ned, så den får form som en trafikkegle, er der meget lidt tilbage af den oprindelige tand.

I den aktuelle tand, der netop er meget udboret indeni, vil en sådan beslibning af hele den ydre del af tanden føre til, at der nærmest intet er tilbage af tanden, og en krone vil ikke sidde særligt godt. Tanden er faktisk ødelagt.

Hvis tanden er levende, er der en meget væsentlig risiko for, at den dør af behandlingen eller en kombination af behandlingen og bakterier i revnerne.

Kroner er fortsat en relevant behandling, hvis hele den ydre del af tanden mangler, men der er en indre kerne af tand, som en krone kan sættes ned over efter en minimal beslibning.

Forebyggelse af fraktur og tandpine eller rodspidsbetændelse

Ved at behandle infraktioner så tidligt som muligt kan vi ofte forhindre, at tanden knækker, eller at der opstår betændelse i tandnerven.

Sandsynligheden for, at du kan bevare en tand med revner, afhænger af, hvor tidligt den behandles.

På samme måde er det med mængden af behandling, som tanden har brug for. Jo senere den behandles, jo større bliver risikoen for, at den både skal have en styrkende behandling i keramik og/eller plast OG en rodbehandling oveni.

Årsagen skal behandles samtidig

Hvis årsagen er belastning på grund af tandpres, når du sover, skal du gerne have en bidskinne, som beskytter mod yderligere revnedannelse i dine tænder.

Et eksempel på en behandling af alvorlige revner i tænderne fra vores klinik

En 54-årig kvinde henvendte sig med en alvorlig fraktur af en lille kindtand i højre side af overkæben. Hun havde ikke tygget i noget specielt hårdt.

Tanden var flækket på langs og kunne ikke bevares.

En nøje undersøgelse med gennemlysning afslørede yderligere 5 tænder med revner. Kun de tre tænder fra overkæben er vist her.

Patienten var startet på antidepressiv medicin for ca. halvandet år siden. Antidepressiv medicin, angstdæmpende medicin og ADHD-medicin øger mængden af signalstoffer i hjernen og virker stimulerende. For ca. 20-30 % resulterer det samtidig i natligt tandpres eller tænderskæren som en skjult bivirkning.

Tand der er flækket på langs på grund af en dyb revne
Tænder undersøgt med transillumination

Der blev lagt en behandlingsplan for at bevare tandsættet. Den flækkede tand blev erstattet med et implantat. Samtidig fik patienten fem keramiske hætter på de tænder, der havde dybe revner, og til sidst en bidskinne til at passe på tænderne om natten.

De tre revnede tænder i overkæben blev givet en skånsom beslibning. Der blev foretaget en 3D-scanning af tænderne og fremstillet tynde keramiske hætter hos Moderne Dansk Digitalt Lab i Viby i Aarhus ved hjælp af computerstyret design og fræse-robotter.

Billederne viser en 3D-printet model, hvor man kan se de tænder, der er blevet beslebet, og de færdige keramiske hætter. Den grønne pil peger på den flækkede tand.

Her er det færdige resultat med restaureringerne monteret i munden. Keramikken er limet meget fast til tanden, så der sker en integration af keramik og tand. Det giver en meget stærk restaurering, selvom den er tynd. Restaureringerne er slidstærke og holder deres form i mange år.

Æstetisk er der også en meget fin integration af keramik og tand.

Et andet eksempel på en behandling af alvorlige revner i tænderne fra vores klinik

En patient fik konstateret dybe revner i tre tænder. Hun var en del stresset, og bed tænderne sammen både om dagen og om natten. 

Selvom tænderne var uden huller eller fyldninger var det nødvendigt at give dem en styrkende behandling, så revnernes udbredelse blev standset og tænderne blev beskyttet mod at flække på langs.

Fordi tænderne var intakte kunne vi nøjes med en minimal beslibning, som ikke ødelagde tandens indre levende del, men udelukkende lå i det yderste lag af kalk (emaljen)

author avatar
Morten Skov Hansen
Tandlæge og ejer af klinikken. Uddannet fra Tandlægeskolen ved Aarhus universitet 2001. Særlige faglige fokusområder: Bevaring af de naturlige tænder. Morten har videruddannet sig målrettet i de teknikker der understøtter bevaring af de naturlige tænder. Det gælder rodbehandlingsteknikker i mikroskop og minimalt invasive teknikker til rekonstruktion af tænder.

Læs også:

Se alle artikler