Erstatning af mistede tænder med implantater
Implantater er skruer, som kan sættes ind i kæbeknoglen. På disse skruer kan man opbygge enten en enkelt tand eller flere tænder, hvis man sætter flere implantatskruer ind.
Følelsen af at have et implantat er tæt på den samme som at have en tand. Implantater er det nærmeste, man kommer den naturlige oplevelse og funktion.
De største forskelle er, at implantater ikke kan mærke svage belastninger som tænder. Tænder kan mærke, hvis der er noget hårdt i maden, fx en kirsebærsten. Implantater kræver mere vedligehold end tænder.
Vi har lavet denne artikel til dig om, hvordan implantater fungerer, og hvad du skal vide, inden du går i gang.
Erstatning af mistede tænder med implantater
Fordelene ved implantater er, at:
Naturlig oplevelse og funktion af erstatningen.
Man skal ikke slibe på andre tænder for at erstatte en mistet tand. Det er en stor fordel.
Implantater belaster ikke andre tænder, når man tygger med dem. De kan aflaste andre tænder i funktion.
Kan ofte laves kosmetisk meget flot og genskaber derfor oftest selvtillid og øger velvære.
Implantater bevarer den knogle, de sættes ind i, og kan forebygge det tab af knogle, som ellers hurtigt opstår efter nogle måneder.
Ulemperne ved implantater er:
Implantater får lettere problemer med parodontose. Tandkødet hæfter dårligere til et implantat. Det betyder, at implantater er et risikabelt valg til erstatning af tænder mistet på grund af parodontose.
Der skal være nok knogle for at man kan sætte dem i. Det bliver kosmetisk utilfredsstillende, hvis der mangler knogle.
Knoglen forsvinder ofte langsomt omkring implantater. Det er derfor bedst at få dem i en sen alder (50+).
Stiller større krav til, at patientens helbred er godt. Rygning nedsætter sandsynligheden for, at behandlingen lykkes. Det samme gør sukkersyge, en forhistorie med parodontose og behandling for knogleskørhed.
Hvad kan der gå galt efter at du har fået din implantatbehandling?
Infektion i vævet omkring implantatet (peri-implantitis)
Infektion omkring implantater er den hyppigste grund til, at implantater må fjernes. På billedet til højre peger den røde pil på et sted, hvor knoglen er forsvundet på grund af infektion og betændelse. Det kan være svært at behandle, hvis først processen har fjernet meget knogle (som på tegningen).
Den blanke del af implantatet går igennem tandkødet og kan holdes ren. Den ru del sidder fast i knoglen. Den er ru, for at knoglen kan få fat. Bakterier, som kommer ned på den ru overflade, kan ikke børstes væk på grund af ruhederne, som bakterierne kan gemme sig i.
Tab af knogle uden infektion
I den første tid efter at et implantat er i brug, forsvinder der ofte en smule knogle omkring implantatet.
I nogle situationer fortsætter knogletabet. Dette skyldes som regel for hård belastning, eller at implantatet er placeret et sted, hvor knoglen er for tynd, tandkødet er for sart, eller på grund af rygning. Billederne er fra nettet og viser implantater, som er placeret forkert.
Vi arbejder sammen med specialtandlæger i kæbekirurgi. De har specialistuddannelse og stor viden og erfaring med implantatbehandling. De sætter vores implantater i, så du kan være tryg ved, at de sidder rigtigt. Billederne viser hvorfor dette er vigtigt.
Andre problemer der kan opstå
Der kan opstå forskellige problemer med at enten kronen knækker eller den skrue som holder kronen på plads på implantatet løsner sig eller ligefrem knækker. Disse ting kan som regel repareres rimeligt let.
Implantatet selv er sjældent problemer med, men det kan knække eller revne.
Hvad kan tale imod eller forringe resultaterne af implantatbehandling
Vi har lavet en liste over de forhold som forringer chancerne for at du kan få glæde af en implantatbehandling på længere sigt. Hvis der er flere forhold som optræder samtidigt så påvirker de alle chancerne samtidigt, sådan at en patient med parodontose, der ryger og samtidigt har sukkersyge har måske 30 gange højere risiko for at miste implantaterne. Her er det bedre at vælge andre løsninger.
Rygning
Rygning giver en dårligere funktion af immunforsvaret i kroppen og en dårligere evne til at hele sår. Det betyder dårligere heling efter indsættelse af implantater og større risiko for det ikke lykkes at få implantatet til at sidde fast. Der er samtidigt større risiko for knogletab på lang sigt og for at udvikle parodontose. Rygere har 4-5 gange højere risiko for parodontose omkring implantater og 2-10 gange højere risiko for gradvist fremadskridende knogletab. Samlet har implantater en mindre chance for at holde i lang tid hos rygere
Sukkersyge
Samme problemer som rygning
Forhistorie med parodontose
Patienter emd en forhistorie med parodontose har 3-4 gange højere risiko for at udvikle parodontose omkring implantater
Utilstrækkelig mundhygiejne
Implantater skal børstes bedre end tænder
Uregelmæssige tandlægebesøg
Implantater skal følges tættere end tænder
Tandpres/tænderskæren. Hårdt bid
Implantater tåler ikke for hård belastning
Andre sygdomme og helbredsproblemer
Nogle typer af medicin som er blodfortyndende, dæmper immunforsvaret eller modvirker knogleskørhed
Implantatbehandling er udelukket
Når der er utilstrækkelig mængde knogle eller utilstrækkeligt med plads i mellemrummet mellem de rødder hvor implantatet skal sidde.
På patienter der ikke er fuldt udvoksede
Hos patienter med alvorlige helbredsproblemer som ukontrolleret sukkersyge, utilstrækkelig hjertefunktion, kræftbehandling og organtransplanterede patienter kan ikke få implantater. Det samme gælder patienter, som i lang tid er behandlet med indsprøjtninger mod knogleskørhed (osteoporose), og patienter som inden for 6 måneder har haft blodpropper eller hjerneblødninger.
Hvordan foregår implantatbehandling?
Først skal behandlingen planlægges. Du får en henvisning til kirurgen. De indkalder dig til en forundersøgelse, hvor der også bliver lavet de røntgenundersøgelser der er brug for.
Derefter bliver implantaterne sat i. Trådene fjerner vi efter en uge
Du bliver indkaldt til en kontrol hos kirurgen efter 3-6 mdr for at kontrollere om implantatet er vokset fast.
Når det er fastslået at implantatet er vokset fast, så scanner vi dine tænder og sender det til tandteknikerne i Aarhus som fremstiller din krone eller bro.
Efter ca 14 dage kan vi montere restaureringen.
Hvordan skal jeg passe mine implantater
Vi har lavet denne guide til pasning implantater
Pas godt på dine implantater – en guide til langvarig succes
Tillykke med dine implantater! Du har investeret i en løsning, der kan holde resten af livet – hvis du passer godt på dem. Heldigvis er det ikke svært. Det kræver blot en fast rutine og den rette teknik.
Implantater er ikke det samme som naturlige tænder. De reagerer anderledes på bakterier, og de har brug for særlig opmærksomhed. Men med den rigtige pasning kan de fungere perfekt i mange årtier.
Hvorfor kræver implantater særlig opmærksomhed?
Implantater mangler den naturlige beskyttelse, som dine egne tænder har. Omkring en naturlig tand sidder der små fibre, som både holder tanden fast og fungerer som en barriere mod bakterier.
Omkring et implantat er der ingen sådanne fibre. Tandkødet ligger direkte op ad implantatet uden den samme tætte forbindelse. Det betyder, at bakterier lettere kan trænge ned langs implantatet.
Hvis bakterier får lov at opbygge sig omkring implantatet, kan der opstå betændelse – først i tandkødet (peri-mucositis) og senere i knoglen (peri-implantitis). Det kan i værste fald føre til, at du mister implantatet.
Men her kommer den gode nyhed: Med korrekt daglig pleje og regelmæssige kontroller kan du undgå disse problemer.
Din daglige rutine – grundstenen i implantatpleje
Grundig rengøring hver eneste dag er din bedste forsikring mod problemer. Det handler ikke om at bruge meget tid, men om at gøre det rigtigt.
Tandbørstning to gange dagligt
Brug en blød tandbørste – gerne en elektrisk. Børst mindst to gange om dagen, og sørg for at nå hele vejen rundt om kronen på implantatet. Vær grundig, men ikke hård. Hårdt tryk hjælper ikke – det kan tværtimod skade tandkødet.
Brug en fluortandpasta. Fluor beskytter dine egne tænder, og selv om implantatet ikke kan få huller, har de fleste stadig egne tænder, der har brug for beskyttelse.
Rengøring mellem tænderne – absolut nødvendigt
Her kommer den vigtigste del: Tandbørsten når ikke ned mellem tænderne eller ned under kanten af kronen, hvor den møder tandkødet. Det er præcis de steder, hvor bakterier samler sig.
Du skal derfor dagligt rengøre mellem alle tænder og implantater. Der findes forskellige hjælpemidler, og vi hjælper gerne med at finde den løsning, der passer bedst til dig:
Tandtråd kan bruges omkring implantater, men teknikken skal være rigtig. Før tandtråden forsigtigt ned langs implantatet uden at “snappe” den hårdt ned mod tandkødet. Lav en C-form omkring implantatet og før den op og ned flere gange.
Mellemrumsbørster er ofte det bedste valg omkring implantater. Vælg den rigtige størrelse – den skal kunne glide let igennem uden at bøje sig. Før den ind og ud flere gange. Skyl børsten mellem hvert mellemrum.
Tandtrådholder eller flosser kan gøre det lettere, især hvis du har broer på implantater. Der findes specielle typer med en stiv ende, der kan føres ind under broen.
Vandstråle kan være et godt supplement, men erstatter ikke tandtråd eller mellemrumsbørster. Den skyller løse rester væk, men fjerner ikke den bakteriebelægning, der sidder fast.
Særlige forhold omkring implantater
Hvis du har en aftagelig protese på implantater, skal både implantater og protese rengøres separat. Tag protesen ud og børst implantatet og tandkødet omkring. Rengør også protesen grundigt før du sætter den i igen.
Tegn du skal være opmærksom på
Dit tandkød fortæller dig, hvordan det går. Lær at holde øje med disse signaler:
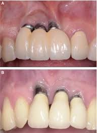
Sundt tandkød omkring implantater er lyst, fast og bløder ikke ved tandbørstning eller rengøring mellem tænderne. Det kan være lidt lysere end omkring dine naturlige tænder.
Rødt, hævet tandkød er et advarselstegn. Det kan betyde, at bakterier er ved at tage overhånd.
Blødning ved tandbørstning eller brug af tandtråd er ikke normalt. Det er ofte det første tegn på betændelse.
Øget følsomhed eller ømhed omkring implantatet skal altid undersøges.
Hvis kronen føles løs eller sidder anderledes end normalt, skal du kontakte os med det samme.
Hvad skal du undgå?
Vær forsigtig med hårde genstande. Bid ikke i ispinde, pen-caps eller andre hårde ting. Implantater er stærke, men kronen kan gå i stykker.
Undgå at bruge tandstikkere eller andre skarpe genstande til at rengøre omkring implantatet. De kan ridse overfladen eller skade tandkødet.
Hvis du knaser eller presser tænder, især om natten, skal du fortælle os det. Vi kan lave en skinne, der beskytter både implantater og egne tænder.
Regelmæssige kontroller – en nødvendighed
Selv med perfekt hjemmepleje er professionelle kontroller afgørende. Vi skal holde øje med ting, du ikke selv kan se eller mærke.
Vi måler tandkødsforholdene omkring implantatet ved hver kontrol. Det fortæller os, om alt er stabilt, eller om der er tidlige tegn på problemer.
Vi fjerner tandsten og bakteriebelægninger, som du ikke kan nå derhjemme. Disse hårde belægninger kan kun fjernes professionelt.
Vi tager røntgenbilleder med jævne mellemrum for at sikre, at knoglen omkring implantatet er intakt.
Hyppigheden af kontroller afhænger af din situation:
De fleste har brug for kontrol og professionel rengøring hver 3.-6. måned. Der er brug for hyppige kontroller, især hvis der tidligere har været problemer, eller hvis du har parodontose.
Vi laver en individuel plan sammen med dig baseret på dine forhold.
Hvis der opstår problemer
Kontakt os altid, hvis du oplever forandringer. Jo tidligere vi opdager problemer, jo lettere er de at behandle.
Betændelse i de tidlige stadier kan ofte behandles ved intensiveret rengøring både hjemme og på klinikken. Hvis betændelsen har spredt sig til knoglen, kræver det mere omfattende behandling. Men selv her kan implantatet ofte reddes, hvis vi når det i tide.
Dit ansvar – vores støtte
Succesen med dine implantater er et samarbejde. Du har ansvaret for den daglige pasning. Vi har ansvaret for den professionelle opfølgning og vejledning.
Mange af vores patienter har haft implantater i 10, 15 eller 20 år uden problemer. Det er ikke held – det er resultatet af god daglig pleje og regelmæssige kontroller.
Vi er her for at hjælpe dig hele vejen. Hvis du er i tvivl om teknikken, hvis du har svært ved at nå visse steder, eller hvis der er noget, der bekymrer dig – så spørg os. Vi finder en løsning sammen.
Dine implantater kan holde resten af livet. Giv dem den omsorg, de fortjener.