Hvorfor tandkroner faktisk er en dårlig behandling

Tiden er i nogen grad løbet fra tandkronerne. Tandkroner er en ubiologisk og destruktiv behandling, som der ikke længere er brug for i de allerfleste tilfælde. Ved en kronebehandling fjernes 60-75% af tanden.

Principperne for behandlingen har været stort set uændrede siden 1880’erne, og det gælder uanset om kronen er fremstillet på baggrund af et scan. Når man fjerner en masse sund tand tager tanden stadig skade – det er det samme uanset om man laver sin registrering med en scanner eller et aftryk. 

 I denne artikel fortæller vi om den nyeste viden om restaurering af tænderne, så du kan bevare dine tænder i god stand hele livet. 

Problemet er nedslibningen

For at lave en tandkrone kræver det, at tanden får en form som en trafikkegle. Kronen sidder så som en kegle oven på anden kegle med cement. Det betyder at der skal slibes rigtigt meget af den tand som bærer kronen – ca 60-75%. 

Det svækker tanden inde under kronen, og det risikerer at ødelægge tandnerven i tanden, så tanden senere skal rodbehandles. 10-15% af tænderne med levende tandnerver, som behandles med kroner, vil senere skulle rodbehandles.

Billederne er herunder er taget fra en undervisningsvideo, hvor en plastictand slibes til af en ekspert.

En krone giver tanden en hård og slidstærk overflade som ikke let knækker, når du tygger, men det som kronen sidder på skal også kunne holde. Jo mere der slibes væk, jo større er risikoen for underlaget knækker under kronen. 

 

Restaureringernes dødsspiral

Under en rodbehandling fjernes endnu mere tand. Selvom patienten nu betaler 1000-vis af kroner for at reparere og bekæmpe infektion eller tandpine, så er tanden nu meget dårlig.

Kronebehandlingen fjernede hele den ydre del af tanden. Rodbehandlingen fjernede den inderste del. Kronen kan nu kun sidde fast med en stift i roden. Stiften virker som et brækjern i roden og flækker den efter et stykke tid.

Tanden kan nu ikke reddes og må fjernes. Den erstattes med et implantat.

Begivenhederne inde den stiplede sorte firkant er resultat af kronebehandlingen. De er ikke en konsekvens af den oprindelige skade (hullet).

Den moderne behandling med onlays/overlays (et låg over tanden)

Moderne limningsteknikker og nye materialer som kan limes sammen med plast har gjort det muligt at restaurere tænderne meget mere skånsomt. Restaureringen bliver en slags sandwich af tand inderst og keramik yderst. Imellem dem og limet sammen med både keramik og tand er et tyndt lag plastlim.

Den moderne behandling består i en minimal beslibning af den naturlige tand. Der fjernes næsten intet af selve tanden.

Særlige limningsteknikker gør at det tynde keramik integreres med tanden. Restaureringen er stærk selvom den er tynd.

Fordi der næsten ingen tand fjernes, så overlever nerven, og der sker ikke mere med tanden.

 

Restaurering og beskyttelse mod at tanden knækker

Tidligere ville man være nødt til at lave en krone for at genskabe en hård overflade på tanden som kan holde til at tygge med. 

Den moderne behandling efterligner naturens eget design og udseende. Ny digital teknologi og nye keramiske materialer der kan limes til tandens væv har gjort behandlingen langt mere skånsom. 

Man fylder mangler i den inderste del ud med et materiale, der arbejder som vævet omkring plasten (dentinen).

Den yderste del (den slidstærke emalje) restaurerer man med en tynd skal af keramik, fordi keramik minder om naturens eget hårde ydre lag. Keramikken låser revnen og beskytter mod at tanden knækker. Samtidig gør man tanden slidstærk, så den bevarer sin form og højde i biddet. 

Keramikken har en meget stor stivhed. Det kan ikke bøjes. Enten holder det sin form, eller også knækker det. Det betyder at tanden under den keramiske overdækning er beskyttet mod det træk som skaber revner. Tanden er nu gjort holdbar – uden at slibe næsten hele tanden væk.

Metoden stiller store krav til præcision og behandlerens kunnen og laves under mikroskop eller anden forstørrelse. Den er særdeles veldokumenteret i den nyeste videnskabelige litteratur. En undersøgelse fandt en holdbarhed på 98,6% efter 14 år. Dette er bedre end de gamle tandkroner.

Tegningen til venstre viser, hvor lidt der egentlig skal slibes væk af den naturlige tand for at lave en moderne restaurering med plast inderst og keramik yderst (markeret med lyseblå) i en tand, der er kraftigt udboret.

Er der tale om en intakt tand med en revne, som på tegningen i midten, kan man lave en endnu mere skånsom beslibning på 0,8-1,0 mm (tanden til højre).

Kroner er oftest ikke en god behandling – beslibningen ødelægger for meget af tanden

 

 

 

Billedet viser hvordan man bedst restaurerer tænder med keramik

Tidligere behandlede man tænder med kroner, men det er en meget destruktiv behandling. Det giver oftest ikke giver mening længere, fordi de nye materialer og metoder med computerscanning og computerstyret fremstilling af tynde keramiske overdækninger er langt mere skånsomme og bedre for tanden.

På tegningen ses, hvor stor en del af tanden der skal slibes væk, for at der kan fremstilles en keramisk krone til tanden. Fordi kronen skal slibes ned, så den får form som en trafikkegle, er der meget lidt tilbage af den oprindelige tand.

I den aktuelle tand, der netop er meget udboret indeni, vil en sådan beslibning af hele den ydre del af tanden føre til, at der nærmest intet er tilbage af tanden, og en krone vil ikke sidde særligt godt. Tanden er faktisk ødelagt.

Hvis tanden er levende, er der en meget væsentlig risiko for, at den dør af behandlingen eller en kombination af behandlingen og bakterier i revnerne.

Kroner er fortsat en relevant behandling, hvis hele den ydre del af tanden mangler, men der er en indre kerne af tand, som en krone kan sættes ned over efter en minimal beslibning.

Forebyggelse af fraktur og tandpine eller rodspidsbetændelse

Ved at behandle infraktioner så tidligt som muligt kan vi ofte forhindre, at tanden knækker, eller at der opstår betændelse i tandnerven.

Sandsynligheden for, at du kan bevare en tand med revner, afhænger af, hvor tidligt den behandles.

På samme måde er det med mængden af behandling, som tanden har brug for. Jo senere den behandles, jo større bliver risikoen for, at den både skal have en styrkende behandling i keramik og/eller plast OG en rodbehandling oveni.

Årsagen skal behandles samtidig

Hvis årsagen er belastning på grund af tandpres, når du sover, skal du gerne have en bidskinne, som beskytter mod yderligere revnedannelse i dine tænder.

Et eksempel på en behandling af alvorlige revner i tænderne fra vores klinik

En 54-årig kvinde henvendte sig med en alvorlig fraktur af en lille kindtand i højre side af overkæben. Hun havde ikke tygget i noget specielt hårdt.

Tanden var flækket på langs og kunne ikke bevares.

En nøje undersøgelse med gennemlysning afslørede yderligere 5 tænder med revner. Kun de tre tænder fra overkæben er vist her.

Patienten var startet på antidepressiv medicin for ca. halvandet år siden. Antidepressiv medicin, angstdæmpende medicin og ADHD-medicin øger mængden af signalstoffer i hjernen og virker stimulerende. For ca. 20-30 % resulterer det samtidig i natligt tandpres eller tænderskæren som en skjult bivirkning.

Tand der er flækket på langs på grund af en dyb revne
Tænder undersøgt med transillumination

Der blev lagt en behandlingsplan for at bevare tandsættet. Den flækkede tand blev erstattet med et implantat. Samtidig fik patienten fem keramiske hætter på de tænder, der havde dybe revner, og til sidst en bidskinne til at passe på tænderne om natten.

De tre revnede tænder i overkæben blev givet en skånsom beslibning. Der blev foretaget en 3D-scanning af tænderne og fremstillet tynde keramiske hætter hos Moderne Dansk Digitalt Lab i Viby i Aarhus ved hjælp af computerstyret design og fræse-robotter.

Billederne viser en 3D-printet model, hvor man kan se de tænder, der er blevet beslebet, og de færdige keramiske hætter. Den grønne pil peger på den flækkede tand.

Her er det færdige resultat med restaureringerne monteret i munden. Keramikken er limet meget fast til tanden, så der sker en integration af keramik og tand. Det giver en meget stærk restaurering, selvom den er tynd. Restaureringerne er slidstærke og holder deres form i mange år.

Æstetisk er der også en meget fin integration af keramik og tand.

Et andet eksempel på en behandling af alvorlige revner i tænderne fra vores klinik

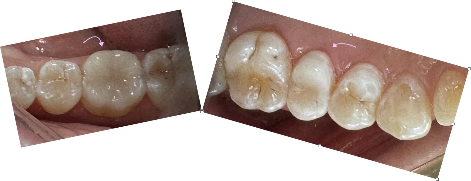
En patient fik konstateret dybe revner i tre tænder. Hun var en del stresset, og bed tænderne sammen både om dagen og om natten. 

Selvom tænderne var uden huller eller fyldninger var det nødvendigt at give dem en styrkende behandling, så revnernes udbredelse blev standset og tænderne blev beskyttet mod at flække på langs.

Fordi tænderne var intakte kunne vi nøjes med en minimal beslibning, som ikke ødelagde tandens indre levende del, men udelukkende lå i det yderste lag af kalk (emaljen)

author avatar
Morten Skov Hansen
Tandlæge og ejer af klinikken. Uddannet fra Tandlægeskolen ved Aarhus universitet 2001. Særlige faglige fokusområder: Bevaring af de naturlige tænder. Morten har videruddannet sig målrettet i de teknikker der understøtter bevaring af de naturlige tænder. Det gælder rodbehandlingsteknikker i mikroskop og minimalt invasive teknikker til rekonstruktion af tænder.

Læs også:

Se alle artikler